/ 2019-12-19
Estetinės odontologijos procedūros nėra naujiena, nes daili šypsena buvo trokštama visais laikais. Per ilgą egzistavimo laikotarpį, estetinės dantų korekcijos ženkliai patobulėjo.
Estetinės odontologijos procedūros nėra naujiena, nes daili šypsena buvo trokštama visais laikais. Per ilgą egzistavimo laikotarpį, estetinės dantų korekcijos ženkliai patobulėjo. Šiandieninės odontologijos išskirtinumas – siekis išsaugoti kiek įmanoma daugiau sveikų danties audinių, taikant tik saugius ir ilgaamžius metodus. Kokius rezultatus leidžia pasiekti modernūs estetinės odontologijos sprendimai?
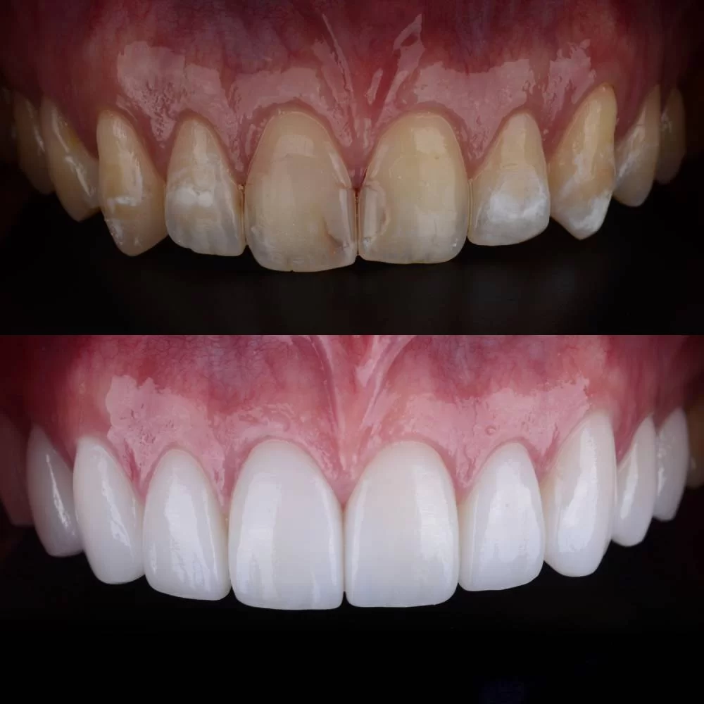
Viena populiariausių dantų restauravimo procedūrų – protezavimas dantų laminatėmis. Laminatės yra plonytės, individualiai pagamintos keraminės ar porceliano plokštelės, kurios tvirtinamos ant dantų paviršiaus, paslėpdamos esamus trūkumus. Pirmosios laminatės buvo sukurtos beveik prieš šimtmetį, specialiai vienam aktoriui filmavimo metu. Tokias restauracijas sukūręs gydytojas nepaleido šios idėjos ir ją vystė toliau, kol sukūrė akrilines laminates, kurios buvo laikinai tvirtinamos ant dantų, naudojant dantų klijus. Tokios laminatės atrodė gana subtiliai, tačiau buvo labai laikinas sprendimas.
Praėjus dvidešimčiai metų po pirmojo bandymo, laminatės pradėtos gaminti iš porceliano, tačiau vis dar buvo neišspręsta esminė problema – ilgalaikis jų tvirtinimas. Šiandien minėti trūkumai liko tolimoje praeityje ir šypsena be preikaištų tapo prieinama kiekvienam. Dabar laminatės puikiai tarnauja 10–30 metų, priklausomai nuo paties paciento asmeninės dantų higienos.
„Protezuojant dantis laminatėmis, spalvą praradę, nuskilę, netaisyklingos formos ar netinkamoje padėtyje esantys dantys per trumpą laiką virsta idealia šypsena.“
Protezuojant dantis laminatėmis, spalvą praradę, nuskilę, netaisyklingos formos ar netinkamoje padėtyje esantys dantys per trumpą laiką virsta idealia šypsena, kuri transformuojama neskausmingu, neinvaziniu būdu. Tiesa, anksčiau procesas buvo kur kas sudėtingesnis ir trukdavo ilgiau. Atsiradus trimačiam skaitmeniniam vaizdui, procedūra vyksta daug sklandžiau, greičiau, sumažinamas vizitų skaičius. Naudojant CEREC technologiją, pasitelkiamos kompiuterinės skenavimo ir modeliavimo sistemos ir suprojektuojamos laminatės, preciziškai pritaikius jų formą ir atspalvį. Kol laminatės pagaminamos, galima atlikti paruošiamuosius darbus. Dantis reikia apšlifuoti, bet tik šiek tiek, kad būtų sukurta vietos dantų restauracijoms. Tuomet galima visam laikui tvirtinti laminates, kurios sukuria dailių dantų vaizdą. Šiuolaikinių technologijų dėka, tobulos šypsenos sukūrimui prireikia vos 2-3 vizitų, vietoj 5-6. Akivaizdu, kad dantų restauravimo srityje nueitas nemažas kelias, atnešęs esminius pokyčius. Svajonių šypsena pasiekiama paprasčiau nei bet kada iki šiol.
Pasirūpinkite savo šypsenos grožiu ir sveikata – suplanuokite vizitą gydytojo odontologo konsultacijai internetu.
All the Lorem Ipsum generators on the Internet tend to repeat predefined chunks as necessary, making this the first true generator on the Internet. It uses a dictionary of over 200 Latin words, combined with a handful of model sentence structures, to generate Lorem Ipsum which looks reasonable. The generated Lorem Ipsum is therefore always free from repetition, injected humour, or non-characteristic words etc.